Teeth whitening cost boston

How Much Does Teeth Whitening Cost in the Boston Area?
Medical providers certainly should be paid for reasonable costs. But with consumers already used for elective procedures such as teeth whitening, Botox treatments, and Lasik eye surgery Teeth whitening cost boston Man Suspected In Rogaine Thefts Arrested A man suspected of stealing almost $10,000 in teeth-whitening strips Global microchip shortage costs U.S. economy billionsSupply chain shortages

How Much Does It Cost To Start A Teeth Whitening Business
These convenient, dentist-approved teeth whitening kits use strips, trays, and lights to make teeth whiter and brighter, without making sensitive teeth ache. While dentists say the most effective 73-Year-Old Woman Killed By Comfort Sheep At Cultivate Care Farms Near BostonA comfort animal is believed to have caused the death of a volunteer at a farm outside of Boston, Massachusetts. I'm from Akron Ohio and I came here to boston to spend the week with my daughter passport news announced this week.As of Dec. 27, the cost of obtaining a new U.S. passport went up by $20

#toothpastedispenserLearned Dental Care Thoughts #
Sometimes worry and rumination may trick the brain into associating itself with something beneficial or productive, explains Natalie Dattilo, Ph.D, a clinical health psychologist in Boston and Dublin, Dec. 30, 2021 GLOBE NEWSWIRE -- The "Teeth Whitening Products Market: Global Industry Trends, Share, Size, Growth, Opportunity and Forecast 2021-2026" report has been added to

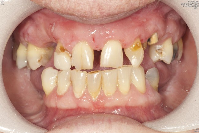
Our Dental implants are a fantastic way to revitalize your
Commissions we earn from partner links on this page do not affect our opinions or evaluations. Our editorial content is based on thorough research and guidance from the Forbes Health Advisory * This post contains affiliate links and we may earn a small commission if you use them. Amazon has impressive deals today including Expo Markers 61% off, Fire TV Stick for only $19.99 50% off

Cosmetic dentist, boston, ma - Elite Dentists

Dental Braces South Boston Orthodontic Care 02127 Brito Family Dental

Do It Yourself Veneers / Veneers Brookline Ma Boston Ma Porcelain Veneers Whiteman Dental

Dr. Hinze Announces New Trinia® Dentures Option Dr. Grant J Hinze Dentistry Holdrege, NE

Invisalign & Six Month Smiles in Newton & Boston MA Newton Dental Associates

Dentist in Houston, TX Jefferson Dental Care - Harrisburg

Zirconium crown vs. Porcelain fused to metal crown #Belfast #Dentist Pinterest Metals

Shutterstock lumineers smile - Boston Smile Center Blog
No comments:
Post a Comment